شکل زير يک شماي کلي از راه هاي هوايي را نشان ميدهد که از nasal cavity شروع شده و تا برونشيولهاي انتهايي ادامه پيدا ميکند .

چه اتفاقي مي افتد وقتي ميکروارگانيسمي وارد برونشيولهاي انتهايي شود ؟
شکل بعدي نشان ميدهد که وقتي ميکروارگانيسم وارد شود، ابتدا تهاجم ) ) invasion پيدا ميکند ، و اگر از سد دفاعي بدن بگذرد )يعني ماکروفاژهايي که داخل آلوئول ها هستند نتوانند آن را اپسونيزه کنند( تزايد )multiplication( پيدا ميکند ؛ اين تزايد باعث ميشود سلولهاي التهابي )نوتروفيل ها ، RBCها و…( وارد فضاي آلوئولها شده و آنرا پرکرده و باعث عفونت پارانشيم ريه ميشود که اين عفونت در نهايت به نموني تبديل ميشود . که در اين صورت يا ميکروارگانيسم ها اپسونيزه شده که resolution پيدا ميکند و بيمار خوب ميشود يا اين عفونت بدتر شده و به سمت آبسه پيش ميرود .)شکل )?

شکل زير نماي يک ريه سالم را نشان ميدهد که آلوئول ها ديواره کامال شارپي دارند ؛ اما وقتي عفونت وارد ميشود مايع و خون ، بيشتر آلوئول را پر ميکند . سوراخ هاي موجود در آلوئولها) )cohn باعث ميشود ميکروبها و چرک ، آلوئول به آلوئول انتشار پيدا کند وممکن است يک لوب را کامال درگير کند )لوبار نمونيا(.
شکل زير شخصي را نشان ميدهد که نموني پيدا کرده و ريه سمت چپش کامال تخريب شده است و سلول هاي التهابي ، اگزودا ،WBC ، RBC که آلوئول را پر ميکنند باعث ميشود اکسيژناسيون مختل شود زيرا اکسيژن از اين محيطي که پر از مايع وچرک است به سختي انتشار مي يابد و باعث ميشود شانت پيدا کند .
علل نموني :
علل نموني اغلب باکتريال است، بعد وايرال وسپس علل قارچي ونيز Protozoa که علت نادري است . شکل صفحه بعد نشان دهنده يک لوبار نمونيا و برونکو نمونيا است؛ تفاوت اين دو باهم اين است که در لوبار نمونيا يک لوب محدود به فيشر درگير است اما در برونکو نمونيا ميکروب که از راه هاي هوايي وترمينال برونشيال ها وارد ريه ميشود و اطراف برونشيال را به صورت تکه تکه ) ) patchy درگير ميکند و به صورت ندوالر است ) تکه هاي از عفونت که بين آنها پارانشيم سالم وجود دارد ( .
اگر نمونيا خيلي طوالني شود از عوارض آن آبسه و empyema )پلورال افيوژني که عفوني شود( است .

Pathology :
عفونت که وارد آلوئول ميشود ابتدا ادم بوجود مي آيد و آلوئول ها ورم ميکند )شکل صفحه بعد : ديپلوکوک ها)نموکوک( را مشاهده ميکنيد که وارد آلوئول شده اند .( ؛ بعد سلولهاي التهابي،RBC،WBC وارد محل ميشوند که به آن Red hepatiation ميگويند يعني بافت ريه به صورت کبد )دنس و پرخون ( درمي آيد که پر از تجمع باکتري ها ،اريتروسيتها و نوتروفيل هاست)حالت consolidation (؛ مرحله ي بعد Gray hepatization است که نوتروفيل و فيبرين تجمع مي يابند اما باکتري در اين مرحله کمتر ديده ميشود )ريه به رنگ خاکستري در مي آيد(. مرحله آخر Resolution است که آلوئول ها پر از ماکروفاژ ميشوند )لکوسيتها کم ميشوند(.

HOST DEFENCE
• اولين دفاع ميزبان در برابر ورود ميکروب ها بيني است، وقتي نفس ميکشيم موها و مژک هايي که داخل مخاط بيني و اطراف سينوس ها وجود دارند، ميکروب ها را به دام مي اندازند)اندازه ميکروب بايد بزرگتر از پنج ميکرون باشددر غير اين صورت از اين سد فرار ميکند.(
• در مرحله بعد موکوس و سيلياري ها هستند که حالت آسانسوري دارند يعني در هر قسمت از راه هاي هوايي زنش آنها به سمت باال است و هر ذره اي که وارد شود آن را به سمت حلق و بيني آورده و به صورت خلط خارج ميکند . ) mucociliary escalator( اگر اين مژک ها از کار بيافتند )مثال در بعضي بيماري ها مثل سندروم کارتژنر و ) Primary ciliary dyskinesia شخص مستعد خيلي از عفونت ها ميشود .
• رفلکس Gag هم يک دفاع مهم است براي جلوگيري از آسپيره کردن ) امروزه گفته ميشود علت اعظم اينکه ميکروب ها وارد بدن ميشوند به علت ميکروآسپيريشن هايي است که شب هنگام در خواب انجام ميدهيم ، يعني يک مقدار خيلي کمي از ترشحات نازوفرنژيال ما از سد وکال کورد رد ميشود وهمين مقدار ميتواند نموني ايجاد کند . ) 0.001cc از ترشحات نازوفارنژيال بيش از صدهزار ميکرو ارگانيسم درونش است .(
• : Normal bacterial flora ما در داخل نازوفرنژيال ) داخل دهان ، بيني و حلق (ميکروب هايي داريم که عموما پاتوژن نيستند و با ميکروارگانيسم هاي عفوني برسر غذا رقابت ميکنند و باعث جلوگيري از رشد آنها ميشوند . حال اگر بي دليل به شخصي آنتي بيوتيک دهيم اين نرمال فلوراي شخص را ازبين ميبريم که باعث رشد ميکروب هاي بيماري زا در اين محيط مي شود .
• :Respiratory epithelial cells اين سلولها يکسري رسپتور هايي دارند که باعث ميشود وقتي ميکروارگانيسمي به آن بچسبد ديگر از آن خالصي پيدا نکند ) )defensins and cathelicidin
• کمپلمان ها و ايمونوگلوبولين ها که روي Respiratory epithelial cells قرار دارند . وقتي ميکروارگانيسم به IgG و بخصوص )surface antibody( IgA ميچسبد باعث ميشود نوتروفيل ها آنها را اپسونيزه کنند.
• نهايتا اگر ميکروب از اين سدها عبور کند و وارد آلوئول ها شود، ماکروفاژهايي که آنجا زندگي ميکنند ميکروب را دربرگرفته و مي بلعند .
• Local proteins ( A & C surfactant )
Environmental factors
? يکسري از داروها )مثل کموتراپي( که گلبول هاي سفيد شخص را کم ميکنند ؛ و کساني که الکل مصرف ميکنند ، مستعد عفونت ميشوند ) خصوصا عليه کلبسيال (.
? بيماري هايي مثل COPD ، عفونت مزمن ريه ، ديابت مزمن ، Renal failor مزمن )دياليزي ها ( ؛ اين افراد به دليل اينکه گلبول هاي سفيدشان عملکرد خوبي ندارد مستعد عفونت هستند.
? کساني که سيگار مي کشند به چند علت مستعد عفونت ريه هستند ؛ همچنين کساني که قبال عفونت هاي ريوي ويروسي گرفتند، مثل آنفوالنزا که شخص را مستعد عفونت نموني باکتريال خصوصا استافيلوکوک ميکند )اگر کسي آنفوالنزا دارد و بعد از خوب شدنش دوباره حالش بد شود بايد شک کنيم که يک عفونت باکتريال رويش سوار شده و باعث نموني شده است .(
? انسداد راه هاي هوايي ؛ مثال شخص يک تومور دارد که به راه هاي هوايي فشار وارد کرده و انسداد ايجاد شده که اين انسداد باعث ميشود اگر ميکروارگانيسمي وجود دارد نتواند تخليه شود ) يعني موکوسيلياري ها ميخواهند آن را به سمت باال بياورند اما وقتي راه بسته است ديگر نمي توانند آن را خارج کنند .( post obstraction pneumonia ?
? دفاع ذاتي ميزبان مثل فاگوسيت ها و آنتي بادي ها ؛ اگر اين دفاع به هم بخورد شخص مستعد نموني ميشود .
? HIV )باعث انواع مختلفي از نموني ها مثل پنموسيستيس ژيروسي و Tb مي شود. (
علت نموني پروليفريشن پاتوژن هاي ميکروبي که داخل آلوئول ميروند و پاسخ ميزبان به اين proliferation است . حال اگر ميزبان پاسخ خيلي شديد بدهد باعث نکروز ميشود. ) necrotising ) pneumonia
( Routes راه هاي درگيري (
Oropharygeal aspiration .1 مخصوصا هنگام خواب )اختالل )Gag ؛ براي نمونه کساني که مشکالت CNSدارند مثال سکته مغزي کردند ) گگ ندارند ( ،کساني که سن باال دارند وهوشياري ندارند وکساني که الکل مصرف ميکنند مستعد آسپيريشن و نموني هستند .
Inhalation .5 ؛ يعني ميکروب از طريق هوا وارد شود .
Hematogen .3 ؛ يعني از طريق خون پارانشيم ريه درگير مي شود .
adjacent spread .4 ؛ مثال مدياستينوم درگير شود و پارانشيم ريه که در مجاورت آن است نيزدرگير شود ويا پلور درگيرشود و درکنارش پارانشيم ريه هم درگير شود ) البته بيشتر برعکسش را داريم يعني خود نموني باعث درگيري پلور مي شود .(
Oropharygeal aspiration
بعضي از upper airway microbiota در داخل دهان پاتوژن نيستند اما وقتي وارد ريه ميشوند پاتوژن هستند ؛ مثال استرپتوکوک نمونيا ممکن است داخل دهان باشد اما پاتوژن نيست ، وقتي وارد راه هاي هوايي مي شود پاتوژن مي گردد . Virulence )يعني خاصيت تهاجم ميکروب ( و ايمني بدن تعيين ميکند که ميکروب تهاجم پيدا ميکند يا نه . سردسته ميکروب هايي که از طريق Oropharygeal aspiration انتقال مي يابند ،استرپتوکوک نمونيا است و ميکروب هاي ديگر شامل : هموفيلوس آنفوالنزا ، استافيلوکوک ارئوس ) به ميزان کمتر( و استرپتوکوک پيوژن ) به ندرت ( ، Moraxella catarrhalisدر کساني که COPDدارند و افراد پير ، Klebsiella درالکلي ها Droplets وقتي شخص عطسه ميکند قطره هاي ريزي خارج مي شوند که به آن Droplet مي گويند . اينها تا فاصله ي يک متر)سه فيت( و نهايتا دومتر مي توانند عفونت زايي کنند به همين دليل کساني باعث عفونت از اين طريق مي شوند بايد تختشان حداقل دومتر با ديگران فاصله داشته باشد . dropletها از طريق سرفه ) بيشتر ( ، عطسه و صحبت کردن منتقل مي شوند حتي در پرستاراني که با اينها کارمي کنند اگر احيا و يا لوله گذاري انجام دهند، مي تواند انتقال پيدا کند . سايزشان معموال بزرگتر از پنج ميکرون است .
ميکروب هايي که از طريق dropletها منتقل مي شوند : استرپتوکوک نمونيا ، مايکوپالسما و بخصوص ويروس آنفوالنزا ? استرپتوکوک نمونيا از دوطريق droplet و آسپيريشن انتقال مي يابد .
Inhalation_ airborne
وقتي dropletها سريعا درهوا خشک مي شوند و کوچکتر از پنج ميکرون مي شوند به آنها airborne ميگويند 5(تا2 باسيل چسبيده به هم که مي توانند به آلوئول هاي انتهايي برسند ( . اينها بيشتر از دومتر انتقال پيدا ميکنند و بسيار خطرناک هستند .
S. pneumoniae (i.e., pneumococcus)
نموکوک شايعترين عفونت ريه است و بيشتر عفونت لوبار مي دهد . در ماه هاي دسامبر تا آوريل)اواخر آذر تا ارديبهشت( شايع تر است . معموال در upper respiratory tract تجمع مي يابند و ميکروآسپيريشن باعث ميشود وارد lower respiratory tract شوند . دور اين ميکروب کپسول پلي ساکاريدي وجود دارد که آن را از اپسونيزه شدن محافظت مي کند ؛ ما برضد اين کپسول براي اين ميکروب واکسن ساختيم ) واکسن نموکوک را در افراد باالي 06 سال ميزنيم (. نموکوک باعث Empyema ،(Pericarditisعوارض خارج ريوي هم مي دهد(، Meningitis ،Endocarditis و آرتيريت سپتيک مي شود و همچنين يک پنجم اين افراد باکتريمي مي دهند ) پس کشت خون در اينها خيلي ارزش ندارد زيرا فقط يک پنجم شان باکتريمي مي دهند( . کساني که طحالشان را برداشته اند بيشتر مستعد نموکوک هستند وعفونت هاي خطرناک تري ميگيرند وباعث intravascular coagulopathy )انعقاد غيرموثر در نواحي از بدن(ميشود.
شکل صفحه بعد لوبار نمونيا را نشان مي دهد . ) دوستان عزيز درصورتي که عکسهاي جزوه به علت چاپ واضح نبودند از فايل pdfجزوه براي مشاهده عکسها استفاده کنيد

درشکل زير ديپلوکوک ها را در کنار سلول هاي خلط ميبينيد .
مايکوپالسما نمونيااين ميکروارگانيسم بيماري خفيف ايجاد مي کند . معموال نوجوانان )دهه هاي اول و دوم ( درگير مي شوند . مشخصه ي آن اينست که وقتي درخانواده اي شخصي بيمار است ، بچه بعدي خانواده بعد از خوب شدن آن شخص، مبتال مي شود )به دليل دوره کمون(. افراد بيمار معموال نياز به بستري پيدا نمي کنند اما در موارد خيلي نادر ممکن است در بيمارستان بستري شوند . تظاهرات خارج ريوي آن شامل :
• bullous myringitis )پرده تيمپان ورم ميکند ، پشتش چرک جمع مي شود و فرد گوش درد شديد مي گيرد.( ،
• myocarditis
• cold agglutination داريم يعني hemolytic anemia دارند .
• در کساني که مايکوپالسما نمونيا دارند ممکن است brain هم درگير شود و به صورت فلج خود را نشان دهد ) مثل ) transverse myelitis يا تظاهرات نورولوژيک داشته باشد که در اطفال بيشتر و در بزرگساالن خيلي کمتر است )در بزرگساالن ممکن است فقط سردرد باشد.(
Chlamydophila pneumonia )کالميديا (
يکي از علل community-acquired pneumonia (CAP) است که بيماري خفيف ايجاد مي کند و معموال خارج از بيمارستان درمان پذير است . بيشتر از طريق مدفوع پرندگان انتقال پيدا ميکند ) مثل کفتربازان (. اين نموني خود را به صورت آتيپيک وبرونکونمونيا) )patchy consolidation نشان مي دهد ) لوبار نيست( .
عوارض کالميدوفيال? سرفه هاي خشک )برخالف مبتاليان نموني نموکوکي که سرفه هاي خلطي آجري رنگ دارند( ،تب خفيف ، آنسفاليت ، هپاتيت ، نارسايي کليه ، اسپلنومگالي ، آنمي هموليتيک و راش .
نکته : کساني که نموني ويروسي ، مايکوپالسمايي و کالميدوفياليي دارند آتيپيک محسوب مي شوند و سرفه هاي خشک دارند .
بجز کالميديا ، آنفوالنزا هم از طريق پرندگان منتقل مي شود .
Legionella pneumophila
لژيونال ممکن است بيماري خيلي خطرناکي ايجاد کند . اولين بار که متوجه لژيونال شدند وقتي بود که لشگرياني در يک هتل جمع شده بودند و همه آنها به يک عفونت مشابه مبتال شدند ؛ بعد فهميدند که عفونت به دليل آب سيستم تهويه آنجا که پر از اين باکتري بوده ، است و از اين طريق به آنها منتقل شده است . ) آنجا به افسران ارتش لژيونل مي گفتند به همين دليل اسمش شد لژيونال. )??? لژيونال معموال به صورت اسپوراديک رخ مي دهد) اما مي تواند به صورت اپيدمي کوچک مثل مورد ذکر شده هم باشد ( . سيستم هاي خنک کننده ، air condition ، تنفس پارتيکل هاي آئروسل و ميکروآسپيريشن آبي که حاوي لژيونال است باعث انتقال آن مي شوند .
S. aureus
همانطور که گفتيم مي تواند عارضه ي آنفوالنزا باشد يعني بعد از آنفوالنزا ايجاد شود اما از طريق اجتماع هم کسب مي شود )قبال مي گفتند فقط در بيمارستان اتفاق مي افتد .( ولي نوعي که از اجتماع کسب مي شود بيماري خيلي شديدتري ايجاد مي کند necrotising pneumonia( مي دهد.( . ممکن است Secondary bacterial pneumonias )نمونياي ثانويه (باشد ، يعني قبلش نموکوک نشسته باشد و وقتي نموکوک خوب شد چون بدن ضعيف مي شود، استافيلوکوک رويش مي نشيند . استافيلوکوک يک ميکروب بسيار تهاجمي است و بايد سريعا درمان کنيم زيرا شوک سپتيک مي دهد .
قارچ ها
قارچ ها هيچکدام نرمال فلور نيستند. مثالHistoplasma capsulatum در غارها وجود دارد و کساني که غارنورد هستند با آن مواجه مي شوند . دو قارچ ديگر با نام هاي Blastomyces dermatitidis و Coccidioides immitis باعث نموني از طريق استتشاق مي شوند ؛ اين قارچ ها در خاک زندگي مي کنند و از طريق inhalation وارد ريه ي کساني که با اين خاک در تماس هستند مي شود . قارچ ها به دو صورت hypha )يعني رشته رشته ( و مخمر))yeast هستند . مخمر در بدن انسان به صورت مخمر است و در بيرون به صورت هايفا است . مخمري که در بدن انسان است انتقال دهنده نيست اما هايفا انتقال دهنده است . چند سردسته از قارچ ها باعث عفونت هاي مهم ريه مي شوند مثل آسپرژيلوس ؛ کساني که نقص ايمني دارند ، پيوند ارگانهاي توپر شده اند ، کساني که پيوند خون مي شوند ، ايمونوتراپي مي شوند ، کساني که کموتراپي مي شوند ، آنهايي که لوکميا و يا لنفوم دارند مستعد “آسپرژيلوس “هستند ؛ اما در کساني که ايمني سالم دارند به ندرت ديده ميشود . Zygomycete يا موکورمايکوزيس در کساني که ديابت دارند ديده مي شود زيرا در محيط اسيدي رشد مي کند . در کساني کهDKA )ديابت کتواسيدوز ( دارند بسيار ضايعه ي خطرناکي است )قبل از آنکه نموني بدهد ، ضايعات سياه نکروتيک درآنها ديده مي شود ( .
M. tuberculosis
Tb هم امکان ندارد به صورت فلورنرمال در انسان باشد . به صورت پارتيکل هاي خيلي کوچک)کمتر از پنج ميکرون( انتشار پيدا مي کند و به صورت airborne است نهdroplet وممکن است يک هفته در فضاي بيرون زنده باشند . اينها مستقيما به آلوئول مي روند و با ماکروفاژ ها تماس پيدا مي کنند اگر ماکروفاژ بتواند آنها را از بين ببرد که هيچ اما اگر نتواند، اينها تجمع پيدا مي کنند ، وارد غدد لنفاوي مي شوند وکمپلکس ” گان” را تشکيل مي دهند . کساني که HIV دارند ،کساني که داروي infliximab استفاده مي کنند ، کساني که خيلي جوان يا خيلي پيرهستند )ايمني ضعيف ( بيشتر درگير مي شوند .
Pseudomonas aeruginosa
سودوموناس يکي از علت هاي نموني ست و معموال در کسانيست که بستري مي شوند و درکساني هم که قبال آنتي بيوتيک گرفته اند نيز ديده مي شود . سودوموناس باکتري بسيار بدقلقي است و براي از بين بردن آن دو داروي ضدسودوموناس بايد تجويز کرد . بيشتر در چه کساني ديده مي شود ؟ در کساني که بيماري هاي مزمن ريوي دارند مثل COPDشديد و سيستيک فيبروزيس)بايد بپرسيم آيا در سه ماه گذشته آنتي بيوتيک مصرف کرده يا نه ؟( ، در افرادي که ايدز دارند و کساني که برونشکتازي دارند.
نموني در چه کساني ديده مي شود ؟
معموال در بچه ها ديده ميشود )تقريبا %26 بستري مي شوند( . دربچه هاي کمتر از دوسال شايع ترين پاتوژن استرپتوکوک نمونيا و RSV است . درکودکان بزرگتر و جوان هاي بالغ مايکوپالسما از علت هاي شايع است.
در افراد باالتر از 86سال معموال آسپيريشن نمونيا را بايد درنظر بگيريم , آسپيريشن در اوايل نموني ايجاد نميکند , نمونيت ايجاد ميکند )يعني اسيد معده باعث التهاب ريه مي شود( بعد ممکن است سد دفاعي بدن شکسته شود )ماکروفاژها قادر به پاکسازي نباشند( ونموني ايجاد شود .)پس در بعضي ها اتفاق مي افتد نه همه( کساني که الکل مصرف مي کنند هوشياريشان مختل مي شود و ايمني ذاتي و تطابقي آنها از بين مي رود و rate نموني)خصوصا با استرپتوکوک( در آنها افزايش پيدا مي کند . در کساني که سيگار ميکشند CAP به دليل استرپتوکوک نمونيا ، لژيونال و آنفوالنزا افزايش پيدا ميکند . )مهم امتحاني(
چرا کساني که سيگار مي کشند مستعد نموني اند ؟
اين افراد موکوسيلياري شان بهم مي ريزد ) کال مژک ها تخريب مي شوند ( و معموال Epithelial cell خوبي ندارند و در نتيجه آن اثر محافظتي ندارند.)سورفاکتانت c و D آنها کم ميشود( .اين افراد مستعد چسبيدن ميکروب هايي مانند استرپتوکوک نومونيا و هموفيلوس آنفوالنزا به اوروفارنژيال اپيتليوم هستند.
Comorbidities
• COPD )سردسته آنها( : مثل افراد مبتال به برونشيت مزمن و آمفيزم که مکانيک ريه و دفاع سلولي آنها به هم ميخورد و مستعد عفونت ميشوند. مثال افراد مبتال به severe COPD و برونشکتازي مستعد هموفيلوس آنفوالنزا و سودوموناس هستند. کساني که COPD دارند و به مدت طوالني کورتون خوراکي مصرف کرده باشند،ريسک آسپرژيلوس در آنها باال ميرود.
• سيستيک فيبروزيس: اين بيماران نيز مستعد پنوموني هستند. به خصوص با عواملي مثل استافيلوکوک اورئوس و . nontypeable H. influenzae همچنين سودوموناس آئروژنزا در کساني که سيستيک فيبروزيس دارند خيلي شايع است مخصوصا بعد از 18 سالگي، به طوري که %86 اين افراد بعد از 18 سالگي در بافت ريه شان سودوموناس وجود دارد. يکي از ميکروب هايي که موجب عوارض خيلي شديد در بيماران ميشود Burkholderia cepacia است که 3.2 درصد اين افراد مبتال ميشوند و اين ميکروب باعث منع پيوند ريه در آنها ميشود. Nontuberculous mycobacteria نيز در اين افراد شايع است.
• کساني که نارسايي قلبي دارند
• بيماري مزمن کبد و ريه
• کنسر
• ديابت
• دمانس
• CVA
• افراد دچار ( immune deficiency نوتروپني ،lymphoproliferative disease ، immunoglobulin deficiencies،) HIV infection
(Geographic and Occupational Considerationsخيلي مهم(
? درکساني که سرباز و نقاش هستند بايد به استرپتوکوک نومونيا شک کنيم.
? کساني که در مناطق روستايي اند)اندميک آنجا هستند( Burkholderia pseudomallei
بيشتر ميگيرند.
? کساني که با پرندگان سر و کار دارند، Chlamydophila psittaci ميگيرند. )نموني )psittacosis
? کساني که با اسب سر و کار دارند، مستعد پنوموني با Rhodococcus هستند.
? کساني که با حيوانات جونده مثل موش سر و کار دارند ممکن است پنوموني بر اثر يرسينيا پستيس)طاعون( بگيرند.
? کساني که با خرگوش سر و کار دارند، مستعد توالرمي ) )Francisella tularensis هستند.
? کساني که با گوسفند و سگ و گربه تماس دارند Coxiella burnetii (Q fever) ميگيرند.
? فصل هم عامل مهمي است، مثال در فصل زمستان نوموني با (H.influenzaباکتري است! با ويروس اشتباه نگيريد!( و استرپتوکوک نومونيا شايع است.
? سارس )کرونا ويروس( در کساني که در جنوب شرقي آسيا زندگي ميکنند،شايع است. يک نمونه به نام Middle East respiratory syndrome (MERS) وجود دارد که اين مورد هم بر اثر کرونا ويروس است.
? Anthrax و tularemia از طريق بيوتروريسم )براي نابودي دشمنان( منتقل ميشوند.
همان طور که گفتيم نموني به چند طريق انتشار پيدا ميکند که يکي از آنها community acquired pneumonia )يعني کساني که در اجتماع از يکديگر ميگيرند. ( و ديگري Health Care Associated Pneumonia است که خود دو نوع مي باشد: Hospital Acquired Pneumonia.1 )که دربيمارستان بستري ميشوند( . Ventilator Associated Pneumonia.5 مورد اول مربوط به کساني است که بيشتر از 48 ساعت در بيمارستان بستري باشند و مورد دوم مربوط به کساني است که به دستگاه ونتيالتور وصل ميشوند و بعد از 48 ساعت اتصال به دستگاه باعث نموني مي شود. )مورد ديگر healthcare associated pneumonia در مورد کساني است که از افراد پير مراقبت ميکنند مثل پرستاراني که در خانه سالمندان هستند.(
Clinical presentation
افراد مبتال معموال تب پيدا ميکنند و احساس عدم بهبودي دارند. شخصي که نموني ميگيرد اول تظاهرات تنفسي مثل تاکي پنه پيدا ميکند. سايرتظاهرات شامل: cough،sputum production ،dyspnea ، pleuritic pain ،hemoptysis
همان طور که گفتيم نوعي از نموني به نام کالسيک نومونيا وجود دارد که معموال کساني هستند که نوع تيپيک نوموني را پيدا ميکنند. مثل نموکوک )مواردي مثل کلبسيال،هموفيلوس آنفوالنزا و… هم هستند.( و به اين صورت است که شخص احساس تب شديد پيدا کرده، بعد لرز ميگيرد. )حتي قبل از تب و لرز فرد تاکي پنه دارد.( بعد سرفه و خلط و بعد از آن تنگي نفس پيدا ميکند. بعد از اين موارد فرد درد قفسه سينه پيدا ميکند) چون درد قفسه سينه که مربوط به پلوراست و خود پارانشيم ريه خيلي حس درد ندارد.( بيشترين درد هنگامي است که فرد نفس عميق ميکشد يا سرفه ميکند. ممکن است بيمار خلط هايي پيدا کند که درونش رگه هاي خون باشد.
تظاهرات خارج ريوي: ممکن است عالئمي مانند تهوع، استفراغ، اسهال و درد شکم پيدا کنند. ممکن است سردرد و confusion هم وجود داشته باشد. عالئمي مثل آرترالژي، درد اندام ها، ميالژي و تغييراتي در سطح هوشياري هم ميتواند ايجاد شود.
البته در افراد پير ممکن است اين تظاهرات وجود نداشته باشد و در مورد اين افراد بايد هوشيار عمل کنيم مثال به يک تاکي پنه يا تغيير بيماري زمينه اي قبلي توجه نشان دهيم. در معاينه باليني اين افراد rales و rhonchi مي شنويم .
در خوني که از آنها ميگيريم لکوسيتوز شيفت به چپ وجود دارد.) يعني band cellها افزايش پيدا ميکند( کساني که ايمونوساپرسيو يا immunocompromised هستند و افراد پير، symptom و sign آنها پنهان است و با عالئم غيراختصاصي خود را نشان ميدهد. مثال تب 38.2 و لرز يکي از تظاهرات نوموني است که ممکن است در افراد پير وجود نداشته باشد و حتما بايد عکس قفسه سينه از اين افراد بگيريم. لژيونال نمونيا يکي از عواملي است که تظاهرات خارج ريوي اش مثل اسهال، تب، سردرد، confusion وميالژي شايع است.
مايکوپالسما نومونيا همان طور که گفتيم bullouse myringitis ، انسفاليت،يوئيت، ميوکارديت و iritis ميدهد.
تشخيص نوموني:
تشخيص نومونيا بر اساس clinical history وphysical examination ميباشد.
حتما بايد chest xray از مريض بگيريم و شکي که کرده ايم تاييد شود. اگر opacity جديد در chest xray مريض ديديم، با توجه به clinical history و physical examination تشخيص نوموني براي بيمار ميگذاريم.
در افراد پير ممکن است عالئم خود را به صورت ضعف (general weakness) ، کاهش اشتها، تغييرات هوشياري، (Incontinenceبي اختياري ادرار( نشان دهد. يا ممکن است بيماري زمينه اي فرد بدتر شده باشد.
همان طور که گفتيم تاکي پنه يکي از تظاهرات خيلي شايع نموني است و حتي يک يا دو روز قبل از اين که عالئم ديگر نوموني آشکار مي شود. )تاکي پنه تعداد تنفس باالي 56تا در دقيقه است( تاکي کاردي نيز ممکن است از عالئم آن باشد. به ازاي هر درجه تب، rate قلب ده تا باال ميرود. البته در بعضي نوموني ها relative bradycardia داريم ، يعني به ازاي تب تعداد ضربان قلب باال نميرود و تاکي کاردي پيدا نميکند . لژيونال ، C. psittaci ، مايکوپالسما و F. tularensi ارگانيسم هايي هستند که Relate bradycardia دارند . )مهم امتحاني( تب در %46 افراد پير ممکن است وجود نداشته باشد و اگر نداشته باشد ممکن است نوموني اش به تعويق بيفتد )حتي 4 ساعت به تعويق بيفتد و مورتاليتي افزايش مي يابد(. بعضي از نموني ها هستند که تظاهرات پوستي مثل اريتما مولتي فرم يا اريتما ندوزوم دارند. اين ها يک ضايعاتي هستند که در ساق پا وجود دارند وبه صورت برجسته هستند و ممکن است دردناک باشند يا نباشند. اين ضايعات معموال در کساني که مايکوپالسما نمونيا دارند، ديده ميشود اما ممکن است در TB و بعضي از بيماري هاي قارچي هم ديده شود.
اريتما گانگرنوزوم) يعني يک زخم در بدن به وجود مي ايد که خورنده است ( در درصد کمي از کساني که سودومونا آئروژنزا دارند ديده ميشود.
Laboratory examination
? آزمايش blood cell count از بيماران ميگيريم.
? براي رد يا تشخيص ديابت، قند خون و الکتروليت ها را چک ميکنيم.
? Pulse oximetry انجام ميدهيم يعني saturation اکسيژن را اندازه گيري ميکنيم .
? تست HIV براي بيماراني که ريسک فاکتوري براي نموني ندارند)وما به HIV شک ميکنيم( انجام ميدهيم.
لکوسيتوز با شيفت به چپ
ميکروب هايي که موجب اين عالمت ميشوند شامل نموکوک که سر دسته آنهاست، هموفيلوس آنفوالنزا و باسيل هاي گرم منفي. اما مايکوپالسما نومونيا،کالميدوفيال، کوکسيال و علت هاي غير باکتريال کمتر لکوسيتوز ميدهند . به طورکلي تيپيک ها بيشتر لکوسيتوز ميدهند. لکوپني خيلي چيز بدي است! اگر WBC کمتر از 4666 شود لکوپني ايجاد شده است و نشان دهنده آن است که گلبول هاي سفيد شخص به سمت پارانشيم ريه رفته اند و خون فرد خالي از گلبول هاي سفيد شده است. اين حالت نشانه overwhelming pneumonia است يعني نموني هايي که تهديد کننده حيات هستند. نموني هاي ناشي از باسيل هاي گرم منفي ممکن است خود را با لکوپني نشان دهند.
? CRPو ESR هم براي مريض چک ميکنيم که ببينيم التهاب وجود دارد يا ندارد؟
ترومبوسايتوپني و ترومبوسيتوز اين ها هم از تظاهرات نموني هستند. تروبوسايتوپني يعني تعداد پالکت ها کمتر از 126666 تا باشد و ترومبوسيتوز يعني تعداد پالکت ها بيشتر از 426666 تا باشد.
? يک تست به نام Procalcitonin )پيشساز کلسي تونين( وجود دارد که نشان دهنده التهاب و عفونت است. در کساني که عفونت باکتريال ميگيرند PCT مثبت ميشود. براي فهميدن شدت نموني )تصميم گيري براي اينکه دارو را بدهيم يا قطع کنيم ( اين تست کمک کننده است اما قطعي نيست.
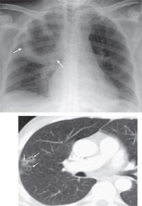
شکل بعدي يک لوبار نومونيا به علت نوموکوک است.
چون برونش اصلي سمت راست هم کوتاه تر و هم مستقيم تر است، بيشتر آسپيريشن نومونيا در اين سمت است.

در چه کساني حساسيت chest xray پايين است؟
-1 در کساني که از قبل بيماري هاي ساختماني ريه مثل امفيزم و bullae داشته باشند،) ممکن است ما اشتباه تشخيص دهيم.(
-5 کساني که چاق باشند: به دليل ازدياد بافت چربي ممکن است تشخيص اشتباه شود.
-3 کساني که اوايل عفونت هستند، ممکن است هنوز consolidation در ريه خودش را نشان نداده باشد .
-4 آنهايي که dehydration شديد دارند نيز ممکن است نموني خودش را نشان ندهد.
-2 کساني که granulocytopenia به داليلي مانند شيمي درماني و… داشته باشند. چون اين افراد خودشان گلبول هايشان کم است . )در نتيجه تهاجمشان خود را درchest x-ray نشان نمي دهد(
Tipical cap
عوامل ايجاد کننده :
استرپتوکوک نومونيا ، هموفيلوس آنفوالنزا و کلبسيال. بيماري به صورت حاد است. لرز و سرفه و خلط دارد. خلط ممکن است با خون همراه باشد يا آجري رنگ باشد. Pleuritic pain هم ممکن است وجود داشته باشد.
درPhysical examination که در اين بيماران انجام ميدهيم ممکن است متوجه consolidation شويم. صداي برونشيال را در برونش ها ميشنويم چون صدا در صورت وجود consolidation بهتر عبور ميکند .
اگوفوني نيز در سمع اين افراد وجود دارد) يعني اين که مثال به مريض بگوييم که بگويد EEE اما وقتي گوشي را ميگذاريم AAA ميشنويم ، اما اگر consolidation وجود داشته باشد ديگر A نميشنويم بلکه همان E ميشنويم.(
تصوير صفحه بعد يک لوبار نومونيا با يک سي تي اسکن از برش آگزيال است.

Atypical pneumonia :
اين بيماران معموال تب خفيف دارند. تب اين بيماران به صورت gradual onset است يعني تب به تدريج باال ميرود. بر خالف موارد تيپيک که يک دفعه تب پيدا ميکنند. سرفه هاي غير خلطي )خشک( دارند. WBC نرمال است. پاتوژن هاي اين موارد مايکوپالسما نومونيه ،کالميدوفيال ،کوکسيال برونتئي و ويروس ها هستند.
البته اينها over lab زيادي با هم دارند يعني در مواردي نميشود تيپيک يا آتيپيک بودن را تشخيص داد. براي درمان آنتي بيوتيکي اوليه نبايد به اين موارد فکر کنيم، يعني نوموني را که بخواهيم درمان کنيم ابتدا به صورت تجربي بر اساس هر دو نوع تيپيکال و آتيپيکال درمان ميکنيم. معموال دو آنتي بيوتيک ميدهيم يا آنتي بيوتيکي ميدهيم که بر هردو اثر بگذارد مثل تاوانکس
Sputum tests :
براي چه کساني تست خلط انجام ميدهيم؟ کساني که بستري نميشوند نياز نيست خلطشان را چک کنيم. خلط بايد چه خصوصياتي داشته باشد و از کجا بفهميم آب دهان نيست يا پارانشيم ريه است؟ ازسلول هايش، squamous epithelial cell نبايد بيشتر از ده تا وجود داشته باشد)در يک فيلد با بزرگنمايي )166، اگر بيشتر از ده تا باشد براي دهان است و بايد آن نمونه را پرت کنيم دور!!! )شکل زير( اگر هم کمتر از ده تا داشته باشد باز هم صد درصد نيست.
در اين فيلد يک squamous epithelial cell وجود دارد پس تست قابل انجام است ??.
آن چه که براي ما مهم است نوتروفيل است، نوتروفيل بايد زياد داشته باشد يعني بيشتر از 52 تا نوتروفيل بايد داشته باشد.)مانند شکل باال(
پس نمونه قابل اطمينان دو خصوصيت دارد: -1 کمتر از ده تا سلول اپيتليال -5 بيشتر از52 تا نوتروفيل. در اين حالت اين نمونه باارزش است و بايد آن را رنگ آميزي گرم کرد. با اين رنگ آميزي ميکروب هايي مانند نموکوک، استافيلوکوک ، هموفيلوس آنفوالنزا و… را ميتوان تشخيص داد اما بعضي ميکروب ها مثل کالميدوفيال، مايکوپالسما را نمي توان تشخيص داد ؛ TBرا هم نميتوان تشخيص داد زيرا براي تشخيصش رنگ آميزي اسيد فست نياز است. )زيل نلسون( استرپتوکوک نومونيا کوکسي گرم مثبت،ديپلوکوک)دوتايي( و به صورت Lancet shape است. هموفيلوس آنفوالنزا پلئومورف گرم منفي است. استافيلوکوک اورئوس به صورت خوشه هاي انگور خودش را نشان ميدهد. مايکوباکتريوم کاتاراليس ديپلوکوک گرم منفي است. )شکل رنگي را از فايلpdfجزوه ببينيد.

مايکوپالسما،لژيونال،مايکوباکتريوم، کالميدوفيال را نميتوانيم با رنگ آميزي گرم تشخيص دهيم.
شکل زير TB را با رنگ آميزي زيل نلسون نشان مي دهد .
دربيماراني که نياز به بستري ندارند ، رنگ آميزي گرم و کشت را نميخواهد انجام دهيم. اما آنهايي که ريسک فاکتور پلي ميکروبيال دارند) عفونت مقاوم به درمان دارند ( و Unusual pathogen هستند بايد نمونه خلطشان را بگيريم .در افرادي که به بستري نياز دارند:
• بايد کشت خون انجام دهيم ) گفتيم که فقط در %56 افراد ارزش دارد ، اما همين هم براي ما سودمند است تا بتوانيم به اين افراد آنتي بيوتيک اختصاصي تر يدهيم (
• رنگ آميزي گرم براي خلط انجام دهيم .
• از طريق آزمايش ادرار مي توانيم آنتي زن دو ميکروب نموکوک و لژيونال را بسنجيم . )خيلي اختصاصي است (
• رنگ آميزي اسيد فست براي کساني که به Tb شک داريم و کشت قارچ براي کساني که شک به قارچ داريم .
• Sputum examination for Pneumocystis jirovecii (if suggested)
• کشت از مايع پلور اگر پلورال افيوژن داشته باشيم .
شکل زير مربوط به مايکوپالسما است که يک برونکونموني کوچک را اينجا ميبينيم .
شکل زير هم استافيلوکوک ارئوس است که درگيري به صورت cavity مي دهد .
اين شکل هم کلبسيال است که يک جا ممکن است به صورت برونکونموني و يک جا cavity خود را نشان دهد.
در اينجا هم سودوموناس را داريم که خود را به صورتهاي cavityريز و برونکونمونيا نشان داده است .
اين شکل هم آسپيريشن نمونيا را نشان داده ؛ گفتيم که آسپيريشن بيشتر به سمت راست مي رود اما اگرشخص خوابيده باشد ممکن است به سمت چپ هم برود و معموال درجاهايي که جاذبه وجو دارد بيشتر تجمع پيدا مي کند ، مثل superior segment, lower lobe و posterior segment, lower lobe )مهم امتحاني (
تشخيص افتراقي
• ممکن است COPD exacerbation باشد.
• مي تواند برونشيت مزمن باشد.
تشخيص هاي افتراقي غير ميکروبي خيلي مهم است :
• آمبولي ريه ؛ آمبولي ريه ممکن است خود را به صورت نموني نشان دهد ، کسي که آمبولي ريه دارد حتي ممکن است تب و پلورال افيوژن هم داشته باشد.)حتما بايد حواسمان باشد که که اشتباه تشخيص ندهيم زيرا تشخيص اشتباه اين مورد فاجعه است ) ??
• ممکن است شخص ادم ريه داشته باشد
• مي تواند CHF باشد ) حتي در صورتي که EF نرمال باشد ( و با نموني دوطرفه اشتباه شود ، در اين مورد اگر ديورتيک بدهيم ادم برطرف شود.
• ARDS
• Pulmonary hemorrhage
• ممکن است cancer، آتلکتازي ، Radiation pneumonitis و يا علت هاي دارويي باشد . ) مثل آميدوران ، متوتروکسات و… که در ريهreaction نشان ميدهد(
• Pulmonary vasculitis (WG)
• Pulmonary eosinophilia
• Organizing pneumonia
تشخيص نموني با chest x-ray تاييد مي شود. براي تشخيص شدت نموني بايد از کرايترياي CURB-65 استفاده کنيم ?.
? Confusion
? Urea
? : Respiratory rate اگر باالي 56 باشد
? : Blood pressure اگر فشار سيستوليک زير76 و يا دياستوليک زير06 باشد
? Age ? 65 years
اگر بيماري هر پنج مورد را داشت حتما بايد درICU بستري شود ؛ اگر يک يا دوتا داشته باشد مي توانيم سرپايي درمان کنيم و اگر سه يا بيشتر از اين موارد را داشته باشد بايد در بيمارستان بستري شود .